Pituitary gonadotropes--a dynamic population
Current studies in Gwen V. Childs, Ph.D.'s laboratory at the University of Texas Medical Branch have focus on the neuroendocrine regulation of pituitary gonadotropes and the division of labor in the population. Dr. Childs has moved her laboratory to the University of Arkansas for Medical Sciences. Recently they have been expanded to include studies of other regulators such as activin, inhibin, EGF, and growth hormone. This page will review work during the past decade. Basically, we will be giving a cytochemists' view of the following characteristics:.

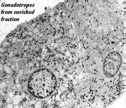
This electron micrograph shows a view of large gonadotropes from a fraction enriched in such cells. The cells are characterized by profiles of dilated rough endoplasmic reticulum and numerous secretory granules scattered throughout the cell cytoplasm. Sometimes the granules are of two sizes
Menu
An introduction to
gonadotropes
How we study gonadotropes.
Are small gonadotropes precursor cells?
Medium-sized gonadotropes may be
responsible for surge secretion.
The largest gonadotropes may maintain and regulate
the system.
Are
gonadotropins stored in the same or different secretory
granules?
Activin and inhibin control of gonadotrope function.
GnRH binding is modulated by steroids, activin, and
inhibin.
Are Growth hormone cells involved in ovulation?
Recent publications on gonadotropes.
Funding and gifts of antigens and antisera for these studies.
An introduction to gonadotropes
Pituitary gonadotropes are one of the 6 major cell types
in the anterior lobe. They produce two hormones called gonadotropins which stimulate the
ovaries. One of these is follicle stimulating hormone (FSH) which stimulates the
development of the ovarian follicle in which the ova (egg) matures. The other is
luteinizing hormone (LH) which is secreted in a peak just before ovulation. LH stimulates
the development of the corpus luteum which prepares the uterus for pregnancy.
These hormones are secreted in parallel and non-parallel patterns during the reproductive cycle. Secretion is stimulated by neuroendocrine mechanisms The secretory neurons are cells scattered in a special region of the brain (gonadotropin releasing hormone-GnRH). These nerve cells originally migrated from the olfactory bulb during fetal development and then became specialized to control the reproductive system. The GnRH is secreted into the blood stream in the pituitary stalk. We detect GnRH binding to gonadotropes by affinity cytochemistry. Our current studies show how locally secreted peptides affect GnRH binding.
How we study gonadotropes.
Since 1975, we have been interested in learning how
gonadotropes are organized to secrete these hormones. Some of the cells store both
hormones in the same cell and granules. Other cells store only one. In addition, the cells
secrete some of their own regulatory peptides such as activin which stimulates FSH cells. The cells also vary in
morphology. Our research is focused on learning the significance of these different
subtypes in the rat pituitary. We are also interested in learning how they respond to
gonadotropin releasing hormone (GnRH).
One way to study these cells is during the reproductive cycle. We use the rat estrous cycle as a model. The following figure shows the types of data we can obtain from our cytochemical studies. Different sized subsets of gonadotropes all express mRNA for LH during the cycle, however, the extent varies with the time of the cycle and the subset. We detected the mRNA in these cells by in situ hybridization. These data have suggested that this reflects a division of labor in the population. For more information about the different subsets see the next page on gonadotrope populations. The different sized subsets are separated by a specialized technique called centrifugal elutriation.
Recent publications on gonadotropes during the past 22 years
- Childs, G.V., Unabia, G., Lloyd, J. Recruitment and maturation of small subsets of luteinizing hormone (LH) gonadotropes during the estrous cycle, Endocrinology, 130:335-345 1992.
- Childs, G.V., Unabia, G., Lee, B.L., Rougeau, D. Heightened secretion by small and medium-sized luteinizing hormone (LH) gonadotropes late in the cycle suggests contributions to the LH surge or possible paracrine interactions, Endocrinology, 130: 345-352 1992.
- Childs, G.V. Unabia, G. Lloyd. J.M Maturation of FSH gonadotropes during the rat estrous cycle. Endocrinology 131(1):29-36, 1992.
- Jameson, J.L., Weiss, J., Bloom, S.R., Childs, G.V., Polak, J.M., Langloss, J. M. and Prentice, D.E. Glycoprotein hormone alpha-subunit-producing pituitary adenomas in rats treated for one year with calcitonin. Am. J. Pathol.140:75-84, 1992.
- Kaiser, U, Lee, BL, Unabia, G, Chin, W, Childs, G.V. Follistatin gene expression in gonadotropes and folliculostellate cells of diestrous rats. Endocrinology 130(5):3048-3056, 1992.
- Lee, B.L., Unabia, G., Childs, G. Expression of follistatin mRNA in somatotropes and mammotropes early in the estrous cycle J. Histochem. Cytochem, 41: 955-960, 1993.
- Childs, G.V. , Unabia G., Rougeau D. Cells that Express Luteinizing Hormone (LH) and Follicle Stimulating Hormone (FSH) Beta ( ) Subunit mRNAs during the Estrous Cycle: The major contributors contain LH , FSH and/or Growth Hormone, Endocrinology, 134: 990-997 1994.
- Childs, G.V., Unabia, G and Miller, BT Cytochemical detection of GnRH binding sites on rat pituitary cells with LH, FSH and GH antigens during diestrous upregulation. Endocrinology 134: 1943-1951 1994.
- Childs, G.V. Division of Labor among Gonadotropes, Vitamins and Hormones, 50: 217- 283 1995.
- Childs, GV. Cytochemical studies of multifunctional gonadotropes. Microscopy Research and Techniques, in press, 1997.
- Ghosh, BR, J.C., Wu, G.V. Childs, and W.L. Miller, Inhibin and Estradiol Alter Gonadotropes Differentially in Ovine Pituitary Cultures: Changing Gonadotrope numbers and Calcium Responses to Gonadotropin-Releasing Hormone, Endocrinology, 137: 5144-5154, 1996.
- Childs GV, Miller, B, and Miller W. 1997 Differential effects of inhibin on gonadotropin stores and gonadotropin releasing hormone binding to pituitary cells from cycling female rats. Endocrinology 138: 1577-1584.
- Armstrong J and Childs, GV 1997 Changes in expression of epidermal growth factor receptors by anterior pituitary cells during the estrous cycle. Cyclic expression by gonadotropes. Endocrinology 138: 1903-1908.
- Armstrong J and Childs, GV 1997 Differential Expression of c-fos in vitro by all anterior pituitary cell types during the estrous cycle: enhanced expression by luteinizing hormone, but not follicle stimulating hormone. J Histochem Cytochem 45: 785-794
- Armstrong J and Childs, GV 1997 Regulation of expression of epidermal growth factor receptors in gonadotropes by epidermal growth factor and estradiol: Studies in cycling female rats. Endocrinology 138: 1577-1584.
- Childs GV and Unabia G 1997 Cytochemical studies of the effects of activin on gonadotropin releasing hormone (GnRH) binding by pituitary gonadotropes and growth hormone cells. J Histochem Cytochem 45: 1603-1610
- Armstrong, J, and Childs, GV Regulation of C-fos mRNA and Protein by EGF and GnRH within Proestrous Female Rat Anterior Pituitary Glands, J Histochem Cytochem, 46: 935-943, 1998
- Childs, GV Gonadotropes. Article 184, Encyclopedia of Reproduction 2: 1151-1159, 1998
- Childs, GV Geda Unabia, Brian T. Miller, and T. Jackie Collins, Enhanced Expression of Gonadotropins by Growth Hormone Releasing Hormone (GHRH) Target cells from Proestrous female rats J Endocrin. 162: 177-187, 1999
- Childs, GV, Unabia, G, Wu, P. Differential Expression of Growth Hormone mRNA by somatotropes and gonadotropes in male and cycling female rats, Endocrinology, 141:1560-1570, 2000.
- Childs, GV Growth hormone cells as co-gonadotropes: Partners in the regulation of the reproductive system. Trends in Endocrinology and Metabolism, 11: 168-174, 2000.
- Childs, GV, Unabia, G, and Komak, S. Differential expression of estradiol receptors alpha and beta by gonadotropes during the estrous cycle. J Histochem Cytochem: 49: 665-666 (2001)
- Childs, GV and Unabia, G, The use of counterflow centrifugation to enrich gonadotropes and somatotropes. J Histochem Cytochem. 49: 663-664 (2001)
- Childs, GV Development of gonadotropes may involve cyclic transdifferentiation of growth hormone cells. Archives of Physiology and Biochemistry 110: 42-49 (2002)
- McCann SM, Karanth S, Mastronardi CA, Dees WL, Childs G, Miller B, Sower S, Yu WH, Hypothalamic control of gonadotropin secretion. Prog. Brain Res. 141: 151-164, 2002
- Childs GV Gonadotropes and Lactotropes. Physiology of Reproduction, J. Neill and E. Knobil, Eds, Elsevier Press, N.Y. Chapter 29, pp 1483-1579, 200
- Akhter, N, CarlLee,T, Syed, MA, Odle, A, Cozart, MA, Haney, A, Allensworth-James, M, Benes, H and Childs, GV. Selective Deletion of Leptin Receptors in Gonadotropes Reveals Activin and Gonadotropin Releasing Hormone Binding Sites As Leptin Targets in Support of Fertility. Endocrinology, In Press Online July 24, 2014 DOI: http://dx.doi.org/10.1210/en.2014-1132
Funding and gifts of antisera and antigens
This project on gonadotropes has been funded by NIH since 1974 at the University of Nebraska, Northwestern University and the University of Texas Medical Branch (UTMB). It has also received funding from Sealy Smith foundation grants at UTMB. The studies of Growth hormone expression of gonadotropins during proestrus is funded by a Sealy Smith Development award. The main study of GH relationships with gonadotropes was funded by NIH R01 HD 33915 until early 2002. Another study of effects of EGF on gonadotropes was funded by National Science Foundation (NSF) IBN9724066.
In 2004, we received funding to study leptin production by gonadotropes NIH R03 HD 44875: "Regulation of Leptin production by gonadotropes” We also received an R21 to study differentiation of gonadotrope populations by cytochemistry: NIH R21 HD 047467-01 Cellular basis for Non-Parallel Gonadotropin release.
Most recently, studies of leptin effects on gonadotropes have been funded by NIH R01 HD059056-01-05. Significance of Leptin Signals to Neonatal Gonadotropes and Somatotropes and NIH R03 HD059066-01 (Childs-PI) Significance of Pituitary Leptin to Gonadotropes
The project was also made possible by the generous gifts of antisera and antigens from Dr. A. Parlowe, and the Hormone Distribution Office, NIH. The antisera to bovine LH-beta was from Dr. J.G. Pierce. Recombinant activin and inhibin were the gift of Genentech. Porcine follicular fluid was a gift from Dr. Wm Miller.
For more information, contact:
Gwen Childs, Ph.D.
Professor and Chair
Department of Neurobiology and Developmental Sciences
University of Arkansas for Medical Sciences
Little Rock, AR 72205
childsgwenv@uams.edu
gvchilds@me.com
